Хакеры могут подделывать МРТ- и КТ-снимки
Хакеры имеют возможность получить доступ к системам 3D-сканирования пациентов и добавлять в них или удалять изображения злокачественных опухолей, подвергая пациентов риску ошибочного диагноза. С таким предупреждением выступили израильские специалисты в области кибербезопасности из университета Бен-Гуриона.
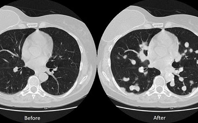
В своем новом исследовании ученые показали, что сканы, которые они смогли изменить и к которым им удалось получить доступ через томограф, смогли обмануть как радиологов, так и алгоритмы искусственного интеллекта, которые врачи использовали для оказания им помощи при диагностике.
Умышленное фальсификация такого рода изображений может способствовать мошенничеству со страховкой, стать возможностью для требования выкупа через вредоносные программы, а также использоваться для кибертерроризма и даже убийства, говорится в заявлении исследователей.
Злоумышленник имеет возможность полностью контролировать количество, размер и расположение опухолей, сохраняя при этом анатомию от исходного высококачественного 3D-изображения.
Чтобы продемонстрировать, как можно осуществить атаку, исследователи попросили разрешения, а затем взломали сеть больницы и смогли перехватить каждое изображение, сделанное системой компьютерной томографии. В видеоролике на YouTube исследователи показали, как легко людям получить доступ к радиологическим рабочим станциям в больнице и установить устройство, способное перехватывать и манипулировать данными.
По словам израильских специалистов,
Медицинские изображения не были зашифрованы, потому что внутренняя сеть обычно не подключена к Интернету. Однако злоумышленники все еще могут получить доступ к больнице через Wi-Fi или физический доступ к инфраструктуре. Если же сети подключены и к Интернету, это позволяет злоумышленникам осуществлять удаленные атаки.
Для изменения изображений исследователи использовали нейронную сеть, получившую название генеративно-состязательной сети (ГАС). Сети ГАС уже использовались для создания реалистичных изображений, таких как портреты несуществующих людей. Исследователи показали, как они теперь могут быть использованы и для эффективного управления трехмерными медицинскими изображениями высокого разрешения. Исследователи использовали два подобных алгоритма в своем программном обеспечении, которое они называли CT-Gan: один использовался для "внедрения" рака, а другой - для "удаления" рака.
Исследователи BGU проверили эффективность атаки, обучив CT-GAN вводить или удалять рак легких с помощью бесплатных медицинских изображений из Интернета. Затем они наняли трех радиологов для диагностики набора изображений из 70 фальсифицированных и 30 аутентичных КТ-сканов.
Радиологи ошибочно поставили диагноз для 99% измененных снимков, которые показали злокачественные опухоли, и для 94% измененных снимков, на которых были удалены раковые поражения. И даже после того, как они узнали о таких манипуляции, эксперты все еще не смогли отличить подделанные изображения от подлинных, поставив неверный диагноз для 60% измененных изображений, которые ложно показали опухоли, и 87% тех, в которых были удалены признаки опухоли.
Аналогично потерпело неудачу и программное обеспечение на основе алгоритмов искусственного интеллекта, которое радиологи использовали для ускорения диагностики.
Для решения проблемы эксперты университета Бен-Гуриона предлагают использовать шифрование между узлами радиологической сети больницы. Кроме того, некоторые больницы должны использовать цифровые подписи, чтобы их сканеры подписывали каждое вновь полученное изображение с надежным знаком подлинности.
* Генеративно-состязательная сеть — алгоритм машинного обучения без учителя, построенный на комбинации из двух нейронных сетей, одна из которых генерирует образцы, а другая старается отличить правильные («подлинные») образцы от неправильных.
