Мобильные технологии для лечения мочекаменной болезни. Обзор
Нефролитиаз или почечнокаменная болезнь становится все более распространенным заболеванием во всем мире. За последние 20 лет зафиксирован резкий рост (8,8%) заболеваемости, причем у мужчин эта цифра несколько выше (10,6%), чем у женщин (7,1%). Это объясняется многочисленными факторами, связанными с питанием и образом жизни. Появление камней в почках при этом часто повторяется, это происходит с примерно у 50% пациентов в течение 5-10 лет после первого эпизода заболевания. Прохождение камня или хирургическое лечение - это только "сброс часов". Поэтому нефролитиаз лучше всего рассматривать как хроническое заболевание, к которому следует подходить с помощью профилактических мер. Мобильные технологии позволяют изменить подход к лечению, в том числе и при острых симптоматических эпизодах заболевания и долговременной профилактике.
Сегодня для пациентов с камнями в почках доступны различные мобильные приложения, которые помогают контролировать гидратацию, изменить рацион питания, соблюдать режим приема лекарств и отслеживать симптоматику. На рынке также доступны новые мобильные устройства, включая Hidrate Spark Smart Water Bottle, прибор для отслеживания стентов мочеточников, системы эндоскопии, интегрированные с мобильными устройствами, и беспроводные УЗИ-сканеры. Все это направление продолжает развиваться и подобные системы могут изменить диагностику и управление лечением нефролитиаза уже в ближайшем будущем.
Современное лечение и профилактика заболевания использует 2 основных подхода: управление диетой и изменение образа жизни (контроль потребления жидкости и изменение потребления некоторых видов продуктов питания) и фармакологическая терапия. Первый метод препятствуют росту камней или образованию новых камней у 60% пациентов. Но, несмотря на эффективность метода, как правило, такое лечение часто неудовлетворительно, и более половины пациентов не соблюдают требования уже через 6 месяцев после начала изменения диеты. Причина этого достаточно банальна – отсутствие стимулов и как следствие низкая приверженность к лечению.
Здесь могут прийти на помощь современные мобильные технологии.
Модификация и контроль диеты
Сегодня на рынке более 1000 различных мобильных приложений, предназначенных для контроля диеты. Существует более десятка приложений, специально предназначенных для улучшения питания больных, в том числе и нефролитиазом, помогающих регистрировать питание, контролировать мочевую кислоту и т.п.
Stone MD
Это приложение на русском языке, имеющее самое большое количество скачиваний в магазинах приложений и содержащее в себе основные инструменты поддержания плана лечения, рекомендуется к использованию пациентам с почечнокаменной болезнью. В нем приведены рекомендации, позволяющие наладить адекватное потребление жидкости, дана справочная информация об основных продуктах питания (калорийность, содержание таких веществ, как кальций, оксалаты, пурины, белок, цитраты), позволяющая оптимизировать питание. Приложение позволяет провести индивидуальную оценку риска образования камней, содержит журнал pH мочи и стент-трекер.
Приложение содержит раздел для пациентов, растворяющих уратные или струвитные камни, и многое другое.
Lifesum Diet & Food Diary
Это приложение, которое позволяет составлять план диеты, дневник питания, имеет калькулятор и счетчик калорий и полезные рецепты - все в одном удобном месте. Эта программа позволяет найти план диеты, наиболее подходящий для конкретного пользователя и его заболевания.
Приложение содержит большое количество диет и рецептов, информацию о всех питательных веществах продуктов. Оно синхронизируется с "умными" браслетами, часами, трекерами и позволяет отслеживать потребление воды. Кроме этого, оно обеспечивает контроль дополнительных показателей (обхват талии, груди, рук).
Гидратация
WaterMinder
Это интуитивно понятная программа для слежения за потребляемой водой. На основе массы тела (или личных целей и рекомендаций врача) приложение будет напоминать о том, что нужно попить воды. Так пользователь сможет выпивать необходимый объем воды в течение дня. Графическое представление уровня воды и ее содержания в процентах помогает всегда знать, насколько хорошо ваш организм насыщен водой.
Это трекер, который позволяет пользователю просматривать прогресс в области гидратации, рассчитать свою цель в потреблении воды, получить мотивацию с помощью напоминаний, достичь ежедневных целей гидратации и даже выиграть награды.
Smart Water Bottle
Несмотря на перспективность мобильных приложений для изменения поведения, они все еще далеки от повсеместного внедрения как клиницистами, так и пациентами. Возрастной и технологический опыт, похоже, является важным ограничением для таких систем. И для более пожилых людей более удобным средством контроля потребления воды является устройство, похожее на привычные им предметы. Такое, как бутылка Hidrate Spark.
Это устройство объемом в 710 мл с помощью встроенного сенсора отслеживает, записывает потребление воды и начинает светиться, чтобы напомнить нам о необходимости очередной раз выпить воды, чтобы обеспечить ежедневную потребность организма в жидкости согласно предписанию врача.
Бутылка синхронизируется с трекерами или смартфоном через Bluetooth. Используя приложение Hydrate, можно настроить собственную ежедневную цель гидратации с учетом индивидуальной активности. Это позволяет поддерживать оптимальный водный баланс в организме, избегая обезвоживания, которое приводит к проблемам со здоровьем.
Еще одной возможностью "умной" бутылки является способность подключения к различным приложениям для фитнеса. После синхронизации с ними Hydrate Spark самостоятельно отрегулирует количество воды, которую пользователь должен пить, на основе данных, собранных с подключенных фитнес-приложений.
Помощь в соблюдении плана приема лекарственных препаратов
Сегодня в магазинах приложений зарегистрировано около 1000 приложений, предназначенных для этой цели, но только порядка 10% из них создавались при участии медицинских специалистов.
Medisafe
Это бесплатное приложение, предназначенное, в первую очередь, для напоминаний и контроля приема таблеток согласно предписаниям врача. Но это не все - эта программа позволяет следить за весом, давлением, уровнем глюкозы в крови и другими показателями здоровья. А также является удобным средством для напоминания о приеме витаминов и противозачаточных таблеток.
В первую очередь это приложение предназначено для людей, страдающих тяжелыми и хроническими заболеваниями, включая нефролитиаз.
MediSafe – это самое популярное приложение в своем роде, что полностью оправдано удобством интерфейса и исключительной функциональностью. Кроме всего вышеописанного, MediSafe включает в себя специализированную социальную сеть, визуализированные графики приема лекарств, а также возможность экспорта данных в Excel-файл.
Capsuled
Это продукт израильской компании Vaica Medical, предназначенный для помощи пациентам в точном соблюдении режима приема новых для них лекарств, таких как инъекции и порошкообразные препараты, а также соблюдать сложные графики приема медикаментов.
Устройство содержит внутри себя медикаменты пользователя, такие как шприцы и ингаляторы, и имеет сенсорный экран, с помощью которого можно посмотреть детальные инструкции о том, каким образом применять лекарство. Система отслеживает каждый случай, когда ею пользуются, и может отсылать напоминания, если лекарства не используются согласно предписанному режиму.
В системе используется облачное программное обеспечение, обеспечивающее возможность удаленного управления таким "умным" диспенсером лекарств. Устройство обеспечивает контроль за поведением пациента, что позволяет обеспечить более высокий уровень соблюдения режима, а значит и лучшие результаты лечения,
Трекер симптомов
Многие пациенты с камнями страдают от симптомов заболеваний нижних отделов мочевыводящих путей, рецидивирующих инфекций и хронических болей.
На сегодняшний день было выпущено большое количество приложений, которые предлагают пациентам возможность отслеживать свои симптомы.
UTI Tracker
Это приложение было создано урологом для того, чтобы помочь пациентам определить параметры образа жизни, которые могут вызвать симптоматические эпизоды, и предоставить эту информацию врачам в формате, благоприятном для быстрого рассмотрения и планирования лечения. Приложение позволяет пользователям входить в систему с учетными данными Facebook, получать предупреждающие советы и обмениваться данными с врачом по электронной почте или на бумажном носителе в печатном виде в формате принтера. Правда, как показало исследование, этому приложению склонны отдавать предпочтение молодые пациенты, а для более пожилых людей предпочтителен онлайновый опрос.
Отслеживание состояния стентов
Ureteral Stent Tracker
Компания Boston Scientific выпустила приложение Ureteral Stent Tracker, которое должно помочь урологам следить за мочеточниковыми стентами, имплантированными пациентам с камнями в почках. Эта программа позволяет урологам документировать, когда они имплантировали стент пациенту, записывать дату, когда они предполагают удалить стент и установить автоматические напоминания о том, что им пора произвести необходимую операцию у больного. Если уролог использует мочеточниковый стент производства Boston Scientific, то он может просто отсканировать штрих-код на упаковке, чтобы быстро загрузить подробности об этом устройстве. Ureteral Stent Tracker предоставляет пользователям также возможность использования контрольного экрана, который может применяться для отслеживания статуса всех установленных стентов или получения полной информации, касающейся пациента.
Правда, приложение имеет и свои ограничения - это отсутствие автоматического контакта с пациентами, у которых были зарегистрированы стенты, для которых наступил срок удаления, необходимость ручного ввода планов лечения и необходимость также ручного обновления информации о состоянии пациента, а также отсутствие портала, предназначенного для пациентов.
Обнаружение инфекций мочевыводящего тракта
Для этого сегодня начинают использоваться новые микрофлюидные устройства, работающие совместно со смартфоном, которые могут повысить скорость, чувствительность и специфичность определения инфекций. Они могут обеспечить быстрые количественные и качественные результаты для диагностики инфекций мочевыводящего тракта.
Повсеместное распространение смартфонов в сочетании с благоприятной стоимостью, скоростью и функциональностью микрофлюидной технологии может позволить идентифицировать такие инфекции даже в непосредственно в пунктах оказания медицинской помощи.
Кроме этого, пациентам сейчас доступны системы, позволяющие в домашних условиях проводить анализ мочи с помощью тестовых полосок.
Healthy.io
Смартфоны в настоящее время также становятся платформой для тестирования мочи в домашних условиях. Например, израильская компания Healthy.io разработала набор Dip.io - домашний комплект для анализа мочи, который использует смартфон в качестве диагностического устройства клинического уровня. Это один из немногих наборов для анализа мочи на базе смартфона, который уже получил сертификацию FDA (разрешение на использование). Healthy.io использует для проведения анализа метод распознавания цвета, систему компьютерного зрения и алгоритмы искусственного интеллекта, а также, естественно, набор для получения образца мочи и тестовые полоски. Причем, в отличие от многих других домашних тестов, пациенту ничего не нужно отсылать назад производителю, и он может получить итоговой результат прямо на месте.
inui Health
Аналогичный продукт сделала компания inui Health.Сейчас эта система способна проводить 5 стандартных тестов (тесты на белки, сахар, лейкоциты, нитриты и кетоны), обещая в ближайшем будущем расширение их количества. Это решение использует для проведения анализа метод распознавания цвета, систему компьютерного зрения и алгоритмы искусственного интеллекта, а также, естественно, набор для получения образца мочи и тестовые полоски.
Анализ камней в почках
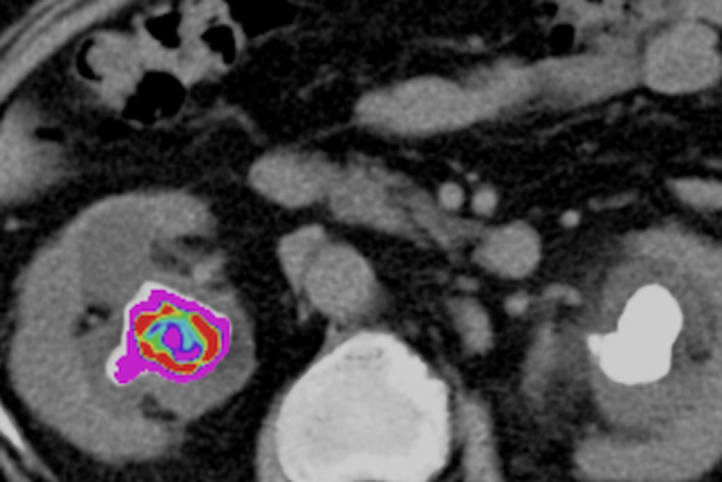
StoneChecker
Британская компания StoneChecker выпустила решение, предназначенного для анализа камней в почках. Программное обеспечение использует медицинские изображения (сканы, полученные при помощи компьютерной томографии) и проводит детальный анализ камней в почках, что позволяет врачам получить критически важную информацию, чтобы определить наиболее эффективное лечение для каждого конкретного пациента.
Система использует специализированный алгоритм для того, чтобы изучить гетерогенность камня и его текстуру, которая невидима в стандартных условиях. В итоге врачи получают справку, в которой отражены физические характеристики камня, такие как объем камня, его средняя структурная плотность, расстояние от камня до кожи, его асимметрия и т.д.
Этот программный продукт уже получил разрешение на использование в странах Европейского Союза.
Другую систему, но уже для быстрого анализа мочевых камней сразу после операции по их удалению, разработали ученые из Института методов физических измерений Фраунгофера. Технология основана на использовании технологии рамановской спектроскопии, позволяющей проводить быстрый и автоматический анализ мочевых камней. Причем предварительная подготовка камней к анализу больше не нужна.
Этот метод позволяет быстро характеризовать и точно идентифицировать конкретный тип мочевого камня (урат, фосфолат, оксалат, цистиновые и ксантиновые камни). Технология использует обнаружение характерного спектра (в видимом диапазоне) в образце, который называется "химический отпечаток".
Мобильные УЗИ-системы
Мобильные ультразвуковые сканеры, способные работать в паре со смартфонами, обладают огромным потенциалом для диагностики и лечения камней в почках, особенно в отдаленных районах или районах с ограниченными ресурсами. За последние несколько лет разрешено к использованию несколько таких устройств, включая Philips Lumify, Butterfly iQ, Mobisante и Clarius Mobile Health. Эти устройства делают ультразвук карманным инструментом, доступным для врачей по исторически низкой цене - например, Butterfly iQ в настоящее время стоит около 2000 долларов, а Philips Lumify можно арендовать за 199 долларов в месяц. Приложения для многих из этих устройств способны переносить изображения в облако, что еще больше расширяет возможности телемедицины и образования. Следует отметить, что в настоящее время эти устройства доступны только лицензированным практикующим врачам.
Мобильная эндоскопия
В последнее время появились портативные устройства, предназначенные для эндоскопии и представляющие собой систему типа "все-в-одном", в котором небольшая система визуализации объединена с собственно эндоскопом. Это решение отличается компактными размерами и относительно недорогой ценой.
Huger
Эндоскоп китайского производителя Huger используется в урологии, отоларингологии, гинекологии и в других областях, где требуется необходимость осмотра полостей диаметром от 4 мм. Он отличается небольшим и удобным монитором и возможностью использовать аккумуляторную батарею, что позволяет применять прибор в любом месте. Вся информация может записываться во встроенную память объемом 8 Гб. Диаметр биопсийного канала - 2 мм.
ClearScope
ClearScope Smart Phone Adaptor позволяет подключить практически любой смартфон или планшет к эндоскопу и получить устройство, которое может захватывать изображения и видео высокого разрешения с 8-кратным увеличением. Адаптер фиксирует мобильный телефон и эндоскоп в жесткую конструкцию, которая позволяет подключить настраиваемый телескопический объектив непосредственно к камере телефона. Для использования изображений и видео применяется соответствующее приложение на смартфоне, которое имеет очень подробный обучающий визуальный справочник. Все изображения могут быть совместно использованы с коллегами, пересылаться по электронной почте или транслироваться на внешний монитор.
ClearScope может работать практически со всеми жесткими и гибкими эндоскопами или микроскопами, которые имеют стандартный 32-миллиметровый окуляр.