Алгоритм для помощи в установке дыхательных трубок получил допуск к использованию
Компания Qure.ai получила разрешение от американского Управления по контролю за продуктами и лекарствами (FDA) на использование алгоритма искусственного интеллекта под названием qXR-BT, который поможет врачам в оценке размещения дыхательной трубки.
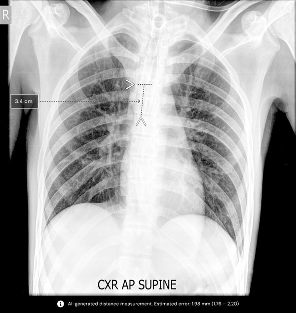
С помощью рентгеновских снимков грудной клетки алгоритм помогает врачам интубированных пациентов определить местоположение дыхательной трубки и автоматизировать измерения. Это первое в своем роде решение, автоматизирующее ручной процесс измерения как для эндотрахеальных, так и для трахеостомических трубок.
Проверка размещения эндотрахеальной трубки необходима для обеспечения оксигенации, вентиляции и защиты дыхательных путей пациента. Хотя это обычная процедура, ежедневно выполняемая в больницах, частота неправильной установки такой трубки достигает 25%. Даже если у клиники есть опытная команда, которая вставляет и закрепляет трубку после первоначальной установки, миграция эндотрахеальной трубки является неизбежным следствием кашля, отсасывания, транспортировки и перемещения пациента.

Алгоритм Qure qXT-BT анализирует положение трубки, автоматизирует измерения и предоставляет врачу отчет о точности позиционирования трубки менее чем за минуту. Это позволяет врачам быстро определить, правильно ли расположена трубка или требуется дополнительное внимание. Алгоритм не зависит от производителя и предназначен для работы как на портативных, так и на стационарных рентгеновских аппаратах.
Лечащий торакальный радиолог из Массачусетской больницы общего профиля доктор Маннудип Калра, который участвовал в исследовании при оценке технологии, сказал:
Ежедневный мониторинг трубок является критически важным для всех интубированных стационарных пациентов, и иногда это трудная задача на портативном обследовании, когда либо карина заслонена, либо кончик не виден. Точное решение на основе искусственного интеллекта может стать ценным подспорьем для составления отчетов по этим рентгеновским снимкам грудной клетки - особенно при измерении.