Новая AI-система знает, когда уступать человеку
Система на основе искусственного интеллекта (artificial intelligence, AI), разработанная в Массачусетском технологическом институте (МТИ), может оценивать рентгеновские снимки и диагностировать некоторые заболевания, но в то же время реально оценивает пределы своих собственных возможностей. По словам представителей МТИ,
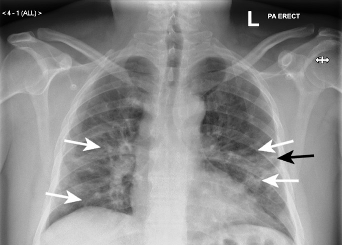
Система либо запрашивает эксперта для постановки диагноза на основании рентгеновского снимка грудной клетки и медицинской карты пациента, либо сама ставит диагноз, "глядя" только на рентгеновский снимок.
Т.е., что очень важно, искусственный интеллект способен признать свои собственные ограничения и обратиться к человеку, который может принять более взвешенное решение.
Технология способна обучаться в процессе эксплуатации и может адаптироваться к тому, как часто она может уступать место врачам, основываясь на их доступности и уровне опыта.

По словам ученых из МТИ Хуссейна Мозаннара и Давида Сонтагина,
Нейронные сети могут превосходить рентгенологов в обнаружении пневмонии при анализе рентгеновских снимков грудной клетки, однако многие препятствия ограничивают полную автоматизацию, поэтому промежуточным шагом будет использование AI-моделей в качестве инструментов сортировки, дополняющих опыт рентгенологов. И в этой работе мы постарались дать теоретически обоснованные подходы к моделированию машинного обучения, которые могут либо предсказать, либо отложить принятие решения до того, как выскажется эксперт, находящийся дальше в цепочке принятия решения, чтобы дополнить и расширить его возможности.
Система машинного обучения была обучена оценивать рентгенограмму грудной клетки для потенциальной диагностики таких состояний, как коллапс легких (спадение доли легкого или ателектаз) и увеличенное сердце (кардиомегалия). При этом система состояла из двух частей: так называемый "классификатор", предназначенный для прогнозирования определенного подмножества задач, и "отбраковщик", который решает, должна ли конкретная задача быть решена его собственным "классификатором", либо человеком.
При тестировании, сфокусированном на диагностике и классификации текстов/изображений, технология не только обеспечивала большую точность, по сравнению со стандартным подходом, но и выполняла задачи с меньшими вычислительными затратами и требовала гораздо меньшее количество обучающих образцов данных.

Хотя разработчики еще не протестировали систему с помощью реальных радиологов, они разработали "синтетических экспертов", которые позволили им подкорректировать такие параметры, как опыт и доступность.
Ученые отмечают, что для того, чтобы AI-система работала с новым человеком-экспертом, алгоритм "нуждается в минимальной настройке, чтобы обучить человека конкретным сильным и слабым его сторонам".