Новый программный инструмент преодолевает основное препятствие в разработке клинического ИИ

11 Oct 2022
188

Американские ученые из Гарвардской медицинской школы и их коллеги из Стэнфордского университета разработали диагностический инструмент на основе искусственного интеллекта (ИИ), который может определять заболевания на рентгеновских снимках грудной клетки, используя описания на естественном языке, содержащимся в сопроводительных клинических отчетах.

Этот шаг считается значительным прогрессом в разработке клинического ИИ, поскольку большинство современных моделей ИИ требуют трудоемкого аннотирования человеком огромных массивов данных, прежде чем помеченные данные поступают в модель для ее обучения.

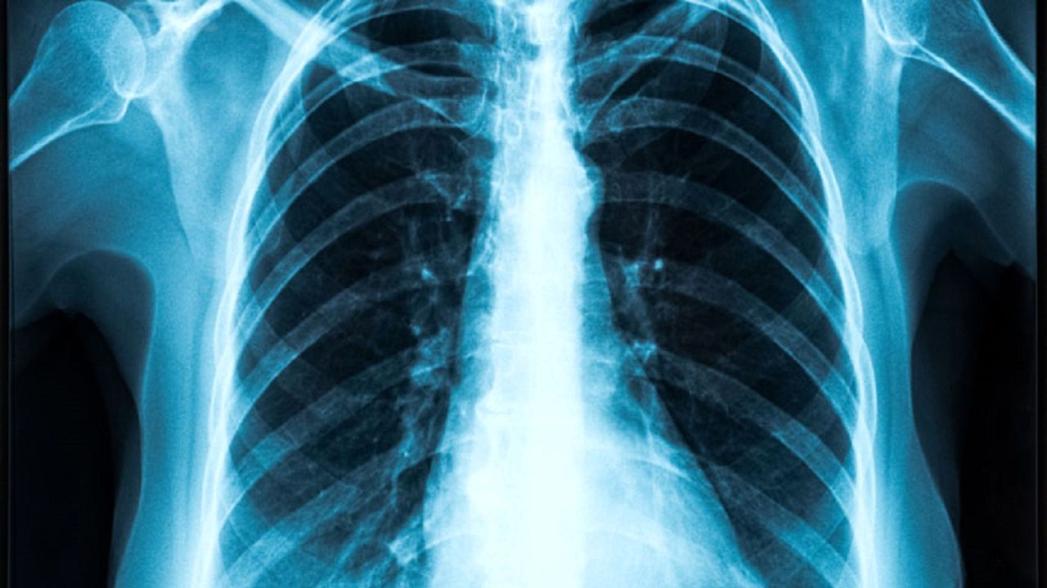
Отчет о проделанной работе, недавно опубликованный в журнале Nature Biomedical Engineering, показывает, что модель, названная CheXzero, по способности выявлять патологии на рентгеновских снимках грудной клетки сравнялась с людьми-рентгенологами.

Команда сделала код модели общедоступным для других исследователей.

Большинство моделей ИИ требуют маркированных наборов данных в процессе "обучения", чтобы они могли научиться правильно определять патологии. Этот процесс особенно обременителен для задач интерпретации медицинских изображений, поскольку он предполагает масштабное аннотирование человеком, что зачастую дорого и занимает много времени. Например, для маркировки набора данных рентгеновских снимков грудной клетки экспертам-рентгенологам пришлось бы просмотреть сотни тысяч рентгеновских снимков один за другим и явно аннотировать каждый из них с указанием выявленных заболеваний. Хотя более современные модели ИИ пытались решить эту проблему маркировки путем обучения на немаркированных данных на этапе "предварительного обучения", в итоге для достижения высокой производительности им требуется тонкая настройка на маркированных данных.

В отличие от этого, новая модель является самоподдерживающейся, в том смысле, что она обучается более самостоятельно, без необходимости использования меченых данных до или после обучения. Модель опирается исключительно на рентгеновские снимки грудной клетки и англоязычные примечания, содержащиеся в сопроводительных рентгеновских отчетах.

С помощью CheXzero можно просто предоставить модели рентгеновский снимок грудной клетки и соответствующее заключение радиолога, и она научится считать, что изображение и текст в заключении должны быть похожи — другими словами, она научится сопоставлять рентгеновские снимки грудной клетки с сопроводительным заключением. Модель способна в итоге узнать, как концепции в неструктурированном тексте соответствуют визуальным паттернам на изображении.

Модель была "обучена" на общедоступном наборе данных, содержащем более 377 000 рентгеновских снимков грудной клетки и более 227 000 соответствующих клинических записей. Затем ее эффективность была проверена на двух отдельных наборах данных рентгеновских снимков грудной клетки и соответствующих записей, собранных в двух разных учреждениях, одно из которых находилось в другой стране. Такое разнообразие наборов данных должно было гарантировать, что модель будет работать одинаково хорошо при работе с клиническими записями, в которых может использоваться различная терминология для описания одного и того же результата.

В ходе тестирования CheXzero успешно определила патологии, которые не были явно аннотированы клиницистами. Она превзошла другие инструменты ИИ с самоконтролем и работала с точностью, схожей с точностью людей-рентгенологов.

По словам исследователей, этот подход в конечном итоге может быть применен к другим модальностям визуализации, включая компьютерную томографию, МРТ и эхокардиограммы.