Paige разработала AI-систему для диагностики рака простаты
Компания Paige получила разрешение от американского Управления по контролю за продуктами и лекарствами (FDA) на маркетинг своего программного обеспечения на базе искусственного интеллекта (artificial intelligence, AI), которое помогает выявить рак простаты.
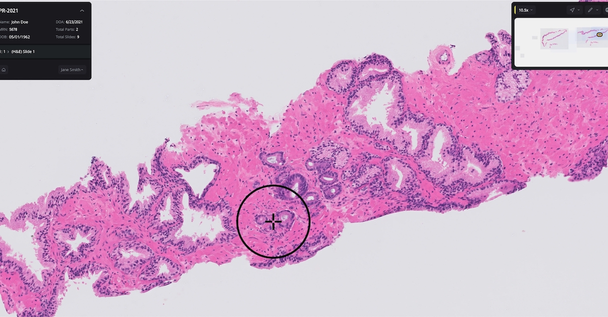
Программное обеспечение Paige Prostate анализирует оцифрованные слайды биопсии и выявляет участки, которые могут быть раковыми, для дальнейшего изучения патологоанатомом.
Разрешение на использование Paige Prostate было получено на основании анализа результатов клинического исследования, в ходе которого 16 патологоанатомов изучили 527 слайдов биопсии простаты. Программное обеспечение повысило способность патологоанатомов обнаруживать рак на отдельных изображениях слайдов в среднем на 7,3% (с 89,5% до 96,8%).
Кроме того, патологоанатомы, использующие программное обеспечение Paige, на 70% сократили количество ложноотрицательных диагнозов и на 24% - ложноположительных. Система Paige Prostate также помогла повысить точность диагностики у неспециалистов-патологоанатомов до того же уровня, что и у специалистов по предстательной железе, которые не использовали программное обеспечение.

Получив ранее разрешение регулирующих органов Европы на использование Paige Prostate в лабораториях и больницах ЕС, Швейцарии и Великобритании, компания теперь предлагает программное обеспечение в США. По словам представителей FDA, система Paige способна улучшить диагностику рака простаты, что в свою очередь может повысить результативность лечения пациентов.
Программное обеспечение компании Paige впервые получило признание FDA в 2019 году, когда ему был присвоен статус "Прорывной технологии". Помимо платформы для лечения рака простаты, компания Paige также разработала технологию искусственного интеллекта для выявления рака молочной железы.