Philips и корейский стартап Lunit создают решение для быстрой диагностики по рентгеновским снимкам
Корейский стартап Lunit заключил партнерское соглашение с компанией Philips с целью разработки совместного диагностического рентгеновского решения. Новое сотрудничество сделает программное обеспечение Lunit на основе искусственного интеллекта доступным для пользователей диагностических рентгеновских решений Philips. Программное обеспечение INSIGHT CXR компании Lunit для обнаружения заболеваний по рентгеновским снимкам грудной клетки точно определяет 10 наиболее распространенных результатов рентгенографии грудной клетки.
Новое решение является очередным расширением портфеля решений Philips для прецизионной диагностики на основе искусственного интеллекта, которое предназначено для достижения лучших результатов для пациентов, улучшения качества обслуживания, а также снижения стоимости медицинского обслуживания.

Генеральный директор по диагностическим рентгеновским исследованиям в компании Philips Даан ван Манен (Daan van Manen) говорит,
Для большинства пациентов рентгеновская диагностика является первым шагом на пути к окончательному диагнозу. Отделения радиологии и их технологи постоянно находятся под давлением. Они сталкиваются с большими объемами пациентов, и каждое усовершенствование рабочего процесса может оказать большое влияние. Высокая эффективность системы искусственного интеллекта компании Lunit была подтверждена в клинических испытаниях и позволяет повысить точность и эффективность рабочего процесса.
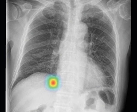
Программное обеспечение Lunit INSIGHT CXR предназначено для обеспечения точного и мгновенного анализа рентгеновских снимков грудной клетки путем картирования местоположения проблемных мест и отображения оценочного расчета их фактической сущности. Оно точно определяет 10 наиболее распространенных результатов рентгенографии грудной клетки, расставляет приоритеты для случаев с аномалиями, тем самым позволяя быстро сортировать обычные случаи и давая возможность рентгенологам сосредоточиться на расшифровке аномальных случаев. Алгоритм работает с точностью 97-99%, его производительность подтверждена в публикациях в таких солидных журналах, как Radiology, JAMA Network Open и др.
Программное обеспечение Lunit INSIGHT CXR сертифицировано и клинически доступно в Европе, на Ближнем Востоке, в Латинской Америке, Юго-Восточной Азии, Австралии и Новой Зеландии. Получение разрешения Управления по контролю за продуктами и лекарствами США ожидается в 2021 году.