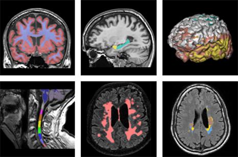
QyScore анализирует снимки МРТ для обнаружения признаков болезней мозга
Французская компания Qynapse получила официальное разрешение американских регулирующих отрасль здравоохранения органов (FDA) на использование программного обеспечения QyScore, которое анализирует сканы МРТ мозга на наличие биомаркеров заболеваний центральной нервной системы. Эта система предназначена для диагностики и мониторинга таких заболеваний, как болезнь Альцгеймера, болезнь Паркинсона и рассеянный склероз, и может использоваться для помощи врачам. Технология уже получила аналогичное разрешение регулирующих органов Евросоюза в 2017 году.
QyScore количественно оценивает продольные изменения в областях мозга, связанных с различными заболеваниями, и помогает устранить вариабельность, вызванную участием разных людей, оценивающих одни и те же изображения МРТ. Поскольку технология указывает на подозрительные биомаркеры и обеспечивает сравнение с изображениями здоровых людей, она может помочь значительно ускорить диагностику.

Отчеты о пациентах составляются через несколько минут после сканирования, и использование QyScore на клинический рабочий процесс существенно не влияет.
По словам Бруно Дюбуа, профессора неврологии Сорбоннского университета и директор Института памяти и болезни Альцгеймера (IM2A) при больнице Pitié Salpêtrière,
QyScore играет важную роль в диагностике деменции на ранней стадии заболевания, когда это сделать еще сложно. Автоматическая количественная оценка таких маркеров, как атрофия мозга, гиперчувствительность белого вещества и т.д., обеспечивает очень ценную помощь для поддержки своевременной диагностики и эффективного мониторинга прогрессирования болезни.