Ультразвуковой зонд VistaScan для смартфона сертифицирован FDA
Американская компания Emagine Solutions Technology получила сертификат американского регулятора отрасли здравоохранения (FDA) для своей мобильной ультразвуковой системы VistaScan. Продукт представляет собой ультразвуковой датчик, который может взаимодействовать со смартфоном или планшетом врача, использующий специализированное приложение компании для отображения и манипулирования в реальном времени изображениями, полученными с помощью зонда.
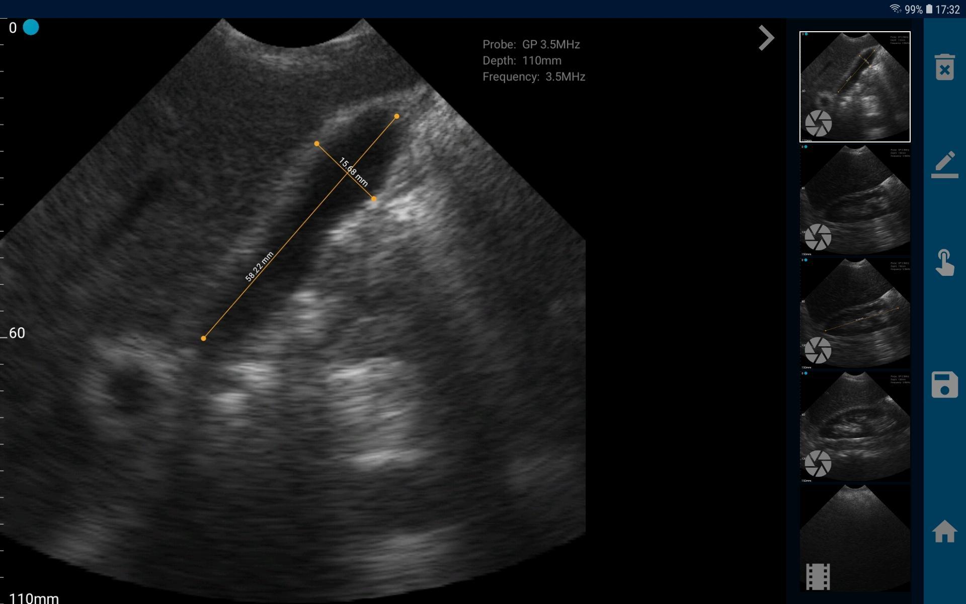
Компания разработала специальное программное обеспечение, которое позволяет врачам использовать дисплей смартфона или планшета для измерения соответствующих анатомических маркеров с точностью до пикселей. Технология имеет множество применений, в частности, система может использоваться для лечения пациентов в полевых условиях и для обеспечения автомобилей "Скорой помощи" диагностическими возможностями ультразвукового устройства, которые могут быть использованы по пути в больницу.
Запатентованная программная платформа VistaScan превращает мобильный телефон или планшет в аппарат УЗИ. В отличие от других портативных ультразвуковых технологий, здесь не требуется много времени для подготовки и научиться использовать эту простую для пользователя платформу можно за считанные минуты. Компания при этом предлагает различные легкие и эргономичные датчики, которые могут обеспечить многочасовое сканирования без подзарядки. По утверждению компании-производителя, пользователь системы VistaScan получает превосходное качество изображения, причем по цене более чем в 10 раз более низкой, чем обходится традиционный ультразвуковой аппарат на тележке.

"Скорость и сложность современной медицины становится огромной, а применение ультразвукового устройства, которое всегда есть в карманах врачей, для диагностики в реальном времени прямо у постели больного, существенным образом помогает своевременно принимать правильные решения и облегчает работу врача", - говорит доктор Берндт Шмит, руководитель секции неотложной радиологии в медицинском центре университета Аризоны.