В Москве начали применять ИИ для анализа маммограмм

02 Aug 2020
424
Прослушать

В Москве продолжается эксперимент по «компьютерному зрению». Его главной целью является проведение различных видов диагностики с использованием искусственного интеллекта и цифровых технологий.

Маммография, будучи незаменимым инструментом для раннего выявления рака молочной железы и потенциального снижения смертности от этого заболевания, не всегда гарантирует безошибочную диагностику. Врачам известны два типа ошибочных заключений: ложноположительные, когда при исследовании выявляется патология, которой на самом деле нет; и ложноотрицательные, когда пренебрегаются или не обнаруживаются патологические изменения.

По данным экспертов, около 10 процентов женщин, прошедших маммографию, приглашаются на дополнительные анализы, поскольку по результатам скрининга определена патология, но только у 0,5 процента обследованных выявлен рак. Это означает, что около 9,5% обследованных женщин нуждались в дополнительных тестах, но на основании ложноположительных заключений. Ошибочная диагностика и последующие тесты вызывают боль, беспокойство и стресс у пациенток, а также увеличивают нагрузку на медицинских работников и общие расходы на здравоохранение, поэтому исследователи видят перспективы в использовании в ИИ для изучения рентгенологических изображений молочной железы и определения риска рака молочной железы.

Анастасия Ракова, заместитель мэра Москвы, сообщила, что теперь цифровые технологии приходят на помощь рентгенологам-маммологам при проведении и анализе маммограмм.

Она уточнила, что в московских клиниках теперь будет использован искусственный интеллект для анализа маммографических исследований. В этом поможет сервис «Цельс». Он способен найти минимальные негативные изменения в структуре молочной железы и сообщить о них врачу, проводящему исследование. Благодаря подсказкам и помощи искусственного интеллекта, можно значительно улучшить точность диагностики рака груди. А ранняя диагностика, как известно, способствует более успешному излечению коварного заболевания.

Исследование будет проходить двойной контроль. Его анализом будут заниматься сразу два доктора, имеющих высокую квалификацию и большой опыт в «чтении» рентгеновских «сканов» молочной железы».

При этом искусственный интеллект укажет им на мельчайшие патологии, которые человеческим глазом могут оказаться незамеченными. Доктора же анализируют подсказки нейросети и решают, насколько они важны. Если врачи заподозрят в этих изменениях угрозу патологии, то пациентка будет направлена на дальнейшие обследования. Если, по мнению, специалистов, опасности нет, то женщине не нужно беспокоиться. Но подсказки сервиса останутся в его памяти. Это значит, что при следующих обращениях пациентки врачи уже будут знать, на какие области молочной железы им нужно обратить особое внимание.

Обследование удобно для пациенток, так как его результаты могут быть готовы в течение 10 минут.

Москвички могут пройти более тщательное исследование молочной железы в 48 больницах и 193 поликлиниках столицы, в которых уже работают сервисы искусственного интеллекта «Цельс».

С целью выявления рака на ранней стадии модель обучена на 102830 верифицированных исследованиях. Цельс внедрен не только в отделения диагностической радиологии в Москве в рамках масштабного эксперимента по использованию служб ИИ, но и в тринадцати регионах Российской Федерации уже есть организации здравоохранения, которые предлагают эту услугу в рамках пилотных проектов.

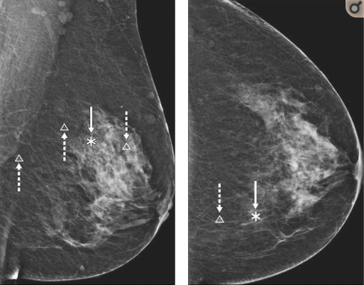
Система анализирует маммограммы, выявляет и идентифицирует злокачественные и доброкачественные новообразования, кальцинаты, лимфатические узлы, фиброзно-кистозную мастопатию, определяет плотность ткани молочной железы в соответствии с ACR и назначает категорию исследований bi-RADS. Пакет из четырех проекций (RCC, RMLO, LCC, LMLO) обрабатывается менее чем за 60 секунд.

Проводя скрининг, система выявляет наличие новообразований и ранжирует осмотры в соответствии с приоритетами: прежде всего, врач изучает снимки пациентов с подозрением на отклонения от нормы.

В ходе диагностики система определяет наличие новообразований и обозначает области, представляющие интерес на изображении, чтобы врач не упускал из виду патологию. В сервисе реализованы основные инструменты для работы с изображениями: изменение яркости, контрастность, инверсия и возможность увеличение изображения.

При пакетной обработке система ранжирует список исследований в соответствии с приоритетами, выявляет наличие доброкачественных или злокачественных изменений и указывает их местонахождение. Сервис оптимизирует процесс подготовки медицинского заключения — автоматически генерирует описание изображения.

В настоящее время применение ИИ исследуется во многих областях исследований рака, включая диагностику и лечение, поиск молекулярных мишеней и разработку лекарств.

В ряде зарубежных научных публикаций было продемонстрировано, что алгоритм искусственного интеллекта для выявления рака молочной железы по изображениям маммограммы так же эффективен, как и работа высококвалифицированных врачей-рентгенологов.

В частности, при поддержке Императорского центра биомедицинских исследований NIHR ученые разработали и обучили алгоритм искусственного интеллекта с использованием маммографических изображений почти 29 000 женщин в Великобритании и США.

Затем эту систему использовали для выявления наличия рака молочной железы на маммограммах женщин, о которых было известно, что у них онкологии не было, либо наоборот — они имели подтвержденный биопсией рак молочной железы.

Результаты, опубликованные в журнале Nature, поподтвердили, что алгоритм искусственного интеллекта превзошел по точности как архивные диагнозы, так и заключения шести опытных радиологов, которые интерпретировали 500 случайно выбранных случаев.

Алгоритм согласно результатам эксперимента также уменьшил долю ошибок скрининга там, где рак был либо неправильно идентифицирован, либо где он мог быть пропущен.

Международная группа экспертов, в которую входят исследователи из Google Health, Imperial College London, DeepMind, NHS и Северо-западного университета в США, пришли к выводу, что ИИ, прошедший соответствующее обучение, может поддерживать принятие клинических решений в будущем.

Раннее выявление рака значительно увеличивает шансы на успешное лечение и оно актуально не только для рака молочной железы, но и для  шейки матки, рта, гортани, кожи, толстой и прямой кишки.

Поэтому в течение августа жителям столицы предлагают пройти не только маммографию, но и раннюю диагностику по самым распространенным видам рака. Это можно сделать бесплатно в 66 поликлиниках столицы, правда пока не всегда с участием ИИ.

Заместитель мэра Москвы Анастасия Ракова сообщила, что такое масштабное мероприятие стало особенно необходимым после периода карантина, связанного с угрозой заражения COVID-19.

Во время вынужденной самоизоляции многие жители не имели возможности для плановых обследований в поликлиниках и больницах. За многомесячный срок карантина образовался большой объем отложенного спроса пациентов на диагностику. Поэтому правительство Москвы приняло решение о предоставлении возможности массового обследования жителей.

От раннего обнаружение патологий в организме зависит успешность излечения. Особенно важна ранняя диагностика для своевременной и эффективной борьбы с онкологией. Для москвичей была разработана скрининговая программа исследований по самым распространенным видам рака. Эти направления сегодня наиболее важны и актуальны.

Жителям Москвы старше 40 лет предлагают сдать анализ кала на скрытую кровь. Молодым женщинам от 18 лет нужно сдать мазок на онкоцитологию, исследование которого покажет риск заболевания раком шейки матки. Дамы до 39 лет приглашаются на УЗИ молочных желез, пациентки старше 40 лет – на маммографические исследования.

Для мужчин после 45 лет важно обезопасить себя от развития простатита. Для этого нужно сдать анализ крови на простат-специфический антиген (ПСА), который покажет возможные риски этого заболевания. Для участия в программе нужен московский полис ОМС.

Выбрать поликлинику, в которой обслуживается пациент или которая на данный момент находится к нему ближе, можно на сайте Департамента здравоохранения Москвы mosgorzdrav.ru/onko.  Затем человеку надо позвонить по указанному телефону и записаться на удобную для него дату сдачи анализов. При посещении медицинского учреждения на руках пациента должен быть медицинский полис и паспорт.

Ознакомиться с итогами исследования можно также в режиме онлайн. Они будут зафиксированы в электронной медкарте пациента на mos.ru и в приложении «ЕМИАС.ИНФО».

Результаты анализов не останутся без внимания врачей, которые их анализировали. При выявлении угроз патологии доктор обязательно сообщит об этом пациенту по телефону и предложит ему варианты обследования, порекомендует специалистов для получения консультаций, расскажет о методах и возможностях терапии.

Подобная эффективная программа ранней диагностики уже проводилась в столице в начале нынешнего года. Из 67 тыс. человек, сдавших анализы, более полутора тысяч пациентов были проинформированы об обнаружении у них подозрительных изменений. Все они были направлены на дальнейшие обследования и консультации к профильным врачам и прошли курс лечения, если это было необходимо.

Команда создателей искусственного интеллекта «Цельс» в 2017 году объединилась во имя благородной цели – создавать и продвигать нейросетевые технологии в медицине, а именно в направлении диагностики онкологии на ранней стадии. Сегодня система научилась диагностировать маммографию и флюорографию. На очереди — компьютерная томография и морфология, их выход запланирован на четвёртый квартал 2020 года. Есть уверенность, что в начале следующего года  массовые  скрининговые обследования будут проходить при участии ИИ, который расширит свою помощь врачам-онкологам вышеперечисленных специализаций и позволит увеличить поток пациентов.  Начать терапию в ранней стадии патологических изменений – значит, вылечить ее быстро и эффективно.