Решение МТИ на базе AI может предсказать рак груди за 5 лет до заболевания
Рак молочной железы является второй по значимости причиной смертности от рака среди женщин. И хотя такие обследования, как маммография, получили широкое распространение, они не всегда надежны. Около 10-15% женщин, проходящих маммографию, должны были вернуться для повторного прохождения процедуры после неубедительного анализа.
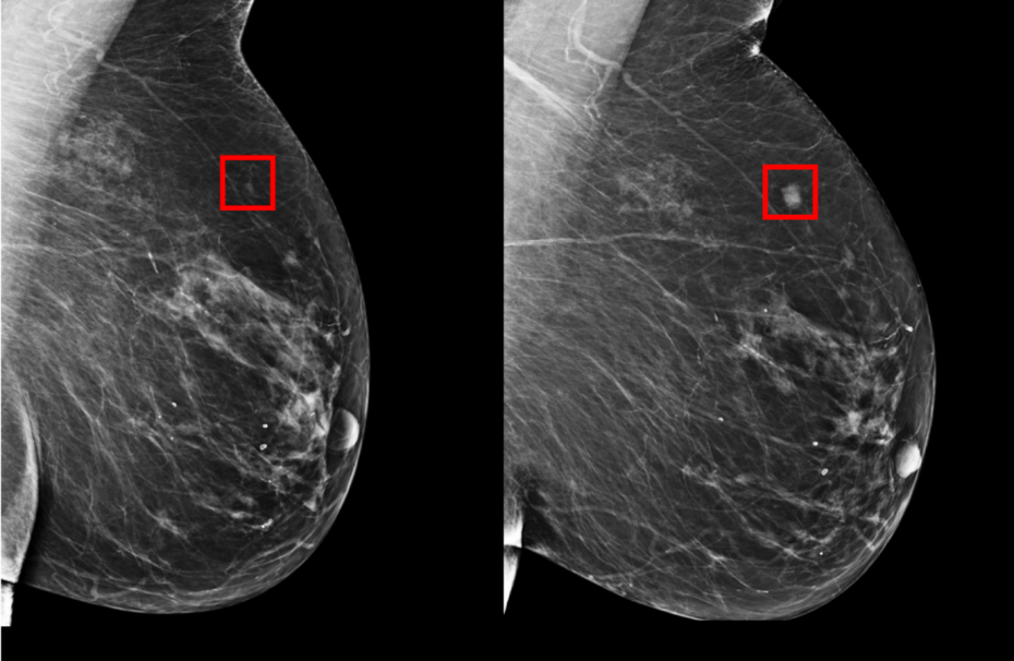
Сегодня с помощью технологий искусственного интеллекта (artificial intelligence, AI) американские ученые из Лаборатории информатики и искусственного интеллекта Массачусетского технологического института и Главной больницы штата Массачусетс разрабатывают решение для более последовательных и надежных процедур скрининга. В опубликованной статье в журнале Radiology они описывают модель машинного обучения, которая на основе данных маммографии может предсказать, может ли у пациента развиться рак молочной железы в будущем за пять лет до начала заболевания.
Их работа основана на результатах работы группы Google AI, которая разработала модель, способную выявлять метастатический рак молочной железы с 99% точностью, и компании Alphabet DeepMind, которая в прошлом году подтвердила, что система искусственного интеллекта в Университетском колледже Лондона демонстрирует "почти человеческие показатели" при анализе сканов компьютерной томографии. Кроме того, ученые Нью-Йоркского университета недавно предоставили модель скрининга рака молочной железы, подготовленную на базе анализа более чем 200 000 маммографических обследований, а группа из Гарвардской медицинской школы разработала искусственный интеллект, который может выявить генетический дефект, вызывающий некоторые виды рака.
По словам одного из авторов этого исследования Регины Барзилай,
Вместо того чтобы применять универсальный подход, мы можем персонализировать скрининг с учетом риска развития рака у женщины. Например, врач может порекомендовать, чтобы одна группа женщин проходила маммографию раз в два года, в то время как другая группа повышенного риска может пройти дополнительный МРТ-скрининг.
Ученые МТИ отказались от использования ручного метода диагностики и идентификации рисков в пользу системы, обученной на данных более чем 90 000 маммографий и известных результатов у более чем 60 000 пациентов Массачусетской больницы общего профиля. С помощью этих данных система "научилась распознавать" взаимосвязи между данными, которые могут упустить даже высококвалифицированные радиологи и онкологи.
Более того, модель оценки риска МТИ была такой же точной для расовых меньшинств, как и для белых пациентов, что не всегда бывает в случае ранних моделей.
