Видеообзор портативного УЗ-аппарата HealCerion Sonon 300C
Мы уже делали текстовый обзор на портативный УЗ-аппарат HealCerion Sonon 300C.
Благодаря нашим коллегам из сервиса МедКарта24 мы смогли более подробно ознакомиться с аппаратом и даже записать видео об этом:
Sonon 300c обладает полноразмерным 128 канальным конвексным датчиком с широким углом обзора, а в этом году будет запущен в производство линейный и микроконвексные датчики. Характеристики датчика:
- Частота: 3.5 Мгц
- Глубина: до 20 см
- Угол обзора: 58.2°
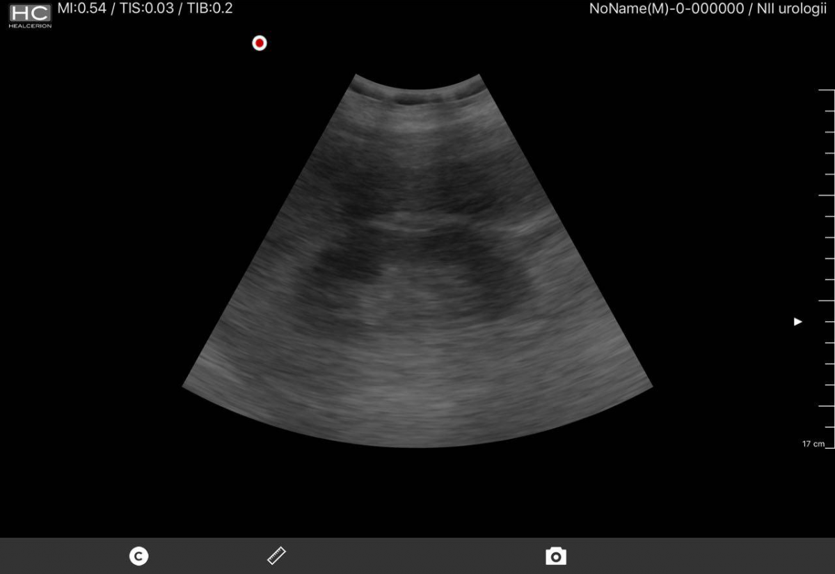
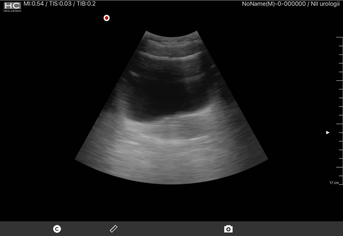
Ниже небольшая галерея скриншотов (почка, мочевой пузырь)
При работе с приложением мы столкнулись с небольшой неприятностью - экспорт изображений и видео осуществлялся только в собственном формате приложения. Обновленное программное обеспечение позволяет экспортировать изображения в формате JPG, но мы, к сожалению, проверить это уже не смогли.
Качество изображения удовлетворительное, оно конечно же несколько не дотягивает субъективно до стационарных аппаратов экспертного класса, но посоревноваться с прочими переносными аппаратами еще как может. Датчик при всей его портативности все же не легкий, уже появляются аналоги чуть ли не в два раза легче. Очень раздражает постоянный шум вентилятора.
Что касается плюсов, то самое главное - это его функционал. Портативный аппарат позволяет проводить УЗ-контроль на обходе, на выезде, в условиях палаты (особенно у лежачего пациента) или приемного покоя. Данный аппарат компактнее любого переносного аппарата УЗИ, используемого в стационарах или амбулатории. При этом качество изображения не уступает. В России не зарегистрирован. О планах выйти на российский рынок производители пока не заявляли.


